
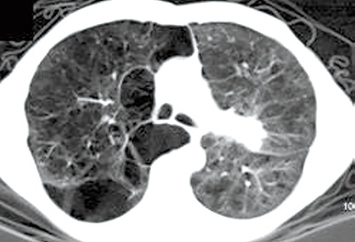
西班牙研究者Di Frisco等报告,在免疫检查点抑制剂(ICI)治疗的、慢性阻塞性肺疾病(COPD)合并非小细胞肺癌(NSCLC)患者中,胸部CT上视觉发现的肺气肿可能是潜在的预后标志。后续研究有必要进一步验证这些发现。(J Thorac Oncol. 2025年10月21日在线版)
COPD和肺气肿是肺癌发生的独立风险因素,并且在ICI治疗的NSCLC患者与更长的总生存期(OS)独立相关。然而,它们共同对预后的影响仍不清楚。
为了评估肺气肿在免疫治疗的COPD合并晚期NSCLC患者中的预后作用,该项研究纳入了2013~2024年ICI单药一线或二线治疗的、COPD(经肺功能测定)合并晚期NSCLC患者,根据胸部CT视觉发现的肺气肿将患者进行分类。
结果显示,研究共包括111例COPD合并肺癌的患者,其中77例合并肺气肿。与无肺气肿患者相比,COPD合并肺气肿患者的OS显著延长(17.3个月 vs. 8.5个月,P=0.008),无进展生存期(PFS)也呈临界的改善趋势(3.3个月 vs. 2.4个月,P=0.641)。多因素分析显示,肺气肿仍然是更长OS的独立因素(HR=0.49,95%CI 0.30~0.81)。不良事件发生率在不同肺气肿状态之间无显著差异(P=0.455)。
(编译 巩晓婷)
