-
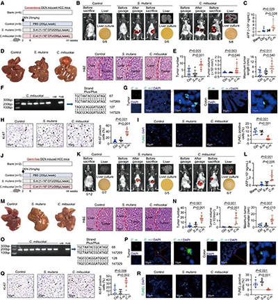
研究发现新型肠菌直接促进肝癌发生
2025-11-05 21:16:19
香港中文大学于君和中山大学附属第一医院匡铭等发现肝癌患者的粪便和肿瘤中富集链型杆菌属(Catenibacterium)细菌,并发现这个属的唯一潜在致病菌Catenibacterium mitsuok…
-
生酮饮食或有助于治疗胶质瘤
2025-11-04 20:50:14
陆军军医大学卞修武等研究发现生酮饮食治疗胶质瘤的新机制,研究发现胶质瘤患者具有独特的肠道菌群特征,表现为产丁酸菌丰度降低、丁酸水平下降。生酮饮食可重塑肠道菌群,…
-
研究发现回肠不易患癌的原因
2025-11-04 20:49:03
哈尔滨医科大学郑桐森、郝大鹏和张学等研究发现,在回肠中特异性高度富集有终末耗竭抗性和强大的克隆扩增能力的CD160+CD8+T细胞,结肠组织和结肠癌组织中这种T细胞亚型较少…
-
非酒精性脂肪性肝病增加乳腺癌风险
2025-11-04 20:48:34
中山大学孙逸仙纪念医院苏士成等证实非酒精性脂肪性肝病(NAFLD)与非典型增生个体的乳腺癌发生风险升高及乳腺癌患者不良预后相关。脂肪肝来源的外泌体通过靶向乳腺脂肪细…
-
骨转移乳腺癌细胞造成贫血机制

2025-11-04 20:48:25
美国普林斯顿大学Han等研究发现,肿瘤细胞劫持成红细胞岛(EBI)中辅助红细胞生成的巨噬细胞亚群,窃取它们供应给红细胞的铁,导致红细胞生成受损、导致贫血。肿瘤细胞也会…
-
三阴性乳腺癌重编程引流淋巴结便于转移

2025-11-04 20:48:16
德国维尔茨堡大学Mattavelli等报告研究显示,三阴性乳腺癌肿瘤细胞在进入肿瘤引流淋巴结之前,通过作用于成纤维网状细胞的TLR4,促进成纤维网状细胞释放CCL2和CCL7等细胞因…
-
小细胞肺癌与神经元形成突触促进脑转移
2025-11-04 20:47:49
美国斯坦福大学/布莱根妇女医院Savchuk 等和德国科隆大学Sakthivelu等报告两项研究发现,小细胞肺癌(SCLC)肿瘤细胞可与神经元形成突触,并响应神经元活动电信号,促进SCL…
-
研究发现能提升CAR-T效能的基因
2025-11-04 20:47:20
美国哈佛医学院Knudsen等和奥地利科学院Datlinger等分别通过大规模体内筛选技术,发现了一些出人意料能提升CAR-T细胞持久性和抗癌能力的关键基因。(Nature. 2025年9月24日…
-
单克隆抗体抗癌时 输液相关反应的真实发生…
2025-09-29 15:03:05
荷兰研究者Smolders等针对真实世界数据的回顾性分析显示,纳武利尤单抗联合伊匹木单抗抗癌时患者的输液相关反应数量高于预期,但利妥昔单抗治疗者仍是该事件的主要群体。当…
-
CSF-BAM仅凭脑脊液就可识别中枢神经系统肿…
2025-09-29 15:02:52
美国约翰斯·霍普金斯大学Pearlman等已经开发出了一种新型的、名为CSF-BAM的、多分析物检测方法,可从少量脑脊液样本中识别出中枢神经系统癌症。其检测敏感性达81%,特异性…
追踪•新进展•其他肿瘤

