为避免嗅觉障碍,头颈癌的最佳放疗剂量宜<22 Gy
中国台湾研究者Chang等一项小型前瞻性研究显示,头颈癌患者放疗剂量与嗅觉功能障碍间存在剂量依赖性的中等程度的正相关,在22 Gy放射治疗剂量下嗅觉功能开始恶化。为了最大限度地减少长期嗅觉障碍的风险,仔细调整放疗剂量和放疗野来优化治疗计划可能是有益的。 [JAMA Netw Open. 2025; 8(12):e2548547.]
相当比例的头颈癌患者在放疗期间或放疗之后会出现嗅觉功能障碍。然而,关于嗅觉功能障碍的前瞻性数据有限,尤其是在调强放疗(IMRT)时代。大多数研究为回顾性或横断面研究,限制了对嗅觉功能随时间动态变化的理解。
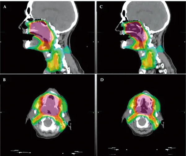
为了评估IMRT的头颈癌患者中放疗与嗅觉功能的相关性,包括嗅觉功能随时间的变化,该项非随机化临床试验招募了2021年1月1日至2023年12月1日组织学确诊并接受IMRT治疗的头颈癌患者。计划接受放疗的患者在多个时间节点接受TWSIT量表的嗅觉功能评估。鼻腔内镜用于排除混杂性的鼻腔疾病(如严重鼻中隔偏移、慢性鼻窦炎、头部外伤或头部放疗史)。主要终点为嗅觉评分与嗅觉区辐射剂量间的相关性。

结果显示,63例放疗前嗅觉功能正常的患者被纳入分析,其中位年龄为55岁(32~75岁),其中52例(82.5%)为男性。最常见的原发癌症部位为口腔和口咽(37例,58.7%),其次是鼻咽(16例,25.4%)。大多数患者患有晚期疾病(Ⅲ~Ⅳb期占79.4%)。根治性放疗占54%,辅助放疗占46%。
总体来看,放疗后嗅觉功能评分下降,部分患者在随访期间有部分恢复。小剂量放疗的患者通常保持稳定的嗅觉功能。放疗剂量与嗅觉功能障碍中度正相关。放疗剂量每增加1 Gy,TWSIT评分下降0.128(0.083~0.173)。受试者工作特征分析确定,22 Gy为估算嗅觉障碍的潜在阈值,此时曲线下面积为0.74(95%CI 0.52~0.96,P=0.03),敏感性为64%,特异性为92%。
在11例出现嗅觉功能障碍的患者中,5例的放疗剂量≤22 Gy,6例的剂量较大。多变量分析显示,嗅觉区域平均放疗剂量超过22 Gy是唯一的独立风险因素(OR=20.65,95%CI 2.60~164.35)。部分接受大剂量放疗的患者出现长达1年的持续性的嗅觉功能障碍。根据敏感性和特异性,嗅球部位放疗剂量≤22 Gy或有超过90%的概率避免嗅觉功能障碍。
研究者表示,估计模型进一步显示,超过22 Gy剂量后发生功能障碍的概率会大幅上升,这些发现强调了在放疗计划中仔细评估嗅觉区域放疗剂量和范围的必要性,以防止长期的嗅觉功能障碍。由于放疗技术、辐射剂量和场域、研究设计、嗅觉评估方法以及评估时间的异质性,放疗后嗅觉恢复的潜力仍不确定。
(编译 刘胜兰)


